В Соединенных Штатах рассказали о том, как лечили первого пациента, заболевшего коронавирусом.
Отчет об этом был опубликован в “Медицинском журнале Новой Англии”.
Отмечается, что 15-го января 35-летний мужчина ввернулся из китайского города Ухань в Вашингтон. Он обратился в больницу, прочитав предупреждение американского Центра по контролю и профилактике заболеваний. При этом из болезней мужчина страдал хронической гипертриглицеридемией.
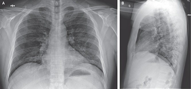
Во время первого осмотра температура пациента составляла 37,2 градуса, давление – 134/87 мм рт. ст., пульс – 110 ударов, а частота дыхания – 16 вдохов за одну минуту. Во время прослушивания легких медики обнаружили хрипы, однако на рентгеновском снимке грудной клетки не было замечено каких-либо отклонений.

Сообщается, что мужчина был отправлен на тесты гриппа А и В, которые дали отрицательный результат. Также отрицательными оказались анализы на риновирус, парагрипп, аденовирус, респрираторно-синцитиальный вирус и четыре самых распространенных штампа коронавируса.
Пациент рассказал, что во время своей поездки в Китай не посещал морской рынок и не контактировал с больными людьми. Однако, его решили проверить на китайский коронавирус и отправили домой.
Отмечается, что анализы на китайский атипичный коронавирус у мужчины дали положительный результат 20-го января. При госпитализации пациент жаловался на тошноту, рвоту и сухой кашель. Затрудненного дыхания или болей в груди у него не было, а в остальном состояние описали как “ничем не примечательное”. Первоначально мужчине назначили в качестве терапии средство от тошноты и физраствор. Показатели пациента были стабильными со второго по пятый день госпитализации.

На второй день мужчина жаловался на боли в животе и понос. Образцы его стула вместе с мазками слизистой рта были отправлены на анализы, которые вновь показали присутствие китайского коронавируса. При этом анализ крови на коронавирус был отрицательным.
Медики продолжали поддерживающее лечение, давая пациенту жаропонижающее, средство от кашля и физраствор. На третий день полные анализы крови выявили изменения в функции печени, лейкопению и легкую тромбоцитопению. Рентген снова не показал аномалий.
На пятый день рентген показал пневмонию в нижней доле левого легкого. На шестой день в больнице пациенту начали давать через нос дополнительный кислород, также назначили лечение цефепимом и ванкомицином. Также на шестой день рентген показал помутнения в обеих легких, что считается признаком атипичной пневмонии.

На седьмой день мужчине начали давать ремдезивир (экспериментальное лекраство), отменили цефепим и ванкомицин.
Сообщается, что состояние пациента улучшилось на восьмой день госпитализации. Его аппетит улучшился, а все симптомы, кроме заложенного носа и сухого кашля, исчезли.
Читайте: Больной коронавирусом житель Черновцов чувствует себя лучше
