Житель Сочи заказал стоматологам выгравировать у него на зубах портреты президентов России и США Владимира Путина и Дональда Трампа. За каждую коронку он заплатил по тысяче евро.
«Зачем заказал рисунок? Просто уважаю их и всё. Санкции когда смягчат, в моём бизнесе и других полегче должно быть. Разрешил врачу «, – объяснил молодой человек свое решение.
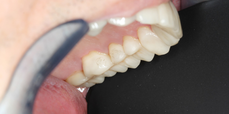
«Это верхние жевательные зубы, боковая поверхность моляра и премоляра. Коронки-реставрации выполнены из цельной керамики. Изготовили за 10 дней. Зарисовку на керамике делал художник, после чего на поверхность керамики нанесли стоматологическую глазурь, которой покрываются все коронки. Далее заготовка запекается в стоматологической печи. Каждый такой зуб обошёлся в 1000 евро», – сказал главврач одной из российских клиник, стоматолог Лев Левченко.
Он уверяет, что держаться будет вечно, если его специально не сводить: «На керамических же кружках рисунок сколько угодно долго держится», передает Лайф
Напомним, Путин считает, что Майдан в Киеве был репетицией американского майдана против Трампа
