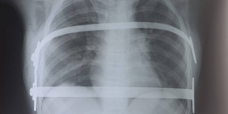
Бригадою дитячих лікарів КНП “Миколаївська обласна дитяча клінічна лікарня” МОР під головуванням доктора філософії Віталія Заремби вперше в регіоні виконано модифіковане відеотороскопічне втручання Nuss із паралельною імплантацією двох титанових пластин 12-річній дитині з діагнозом «Вроджена лійкоподібна деформація грудної клітки, асиметрична, незбалансована».
Про це повідомили в Миколаївській обласній дитячій клінічній лікарні, передає Інше ТВ.
На даний час прооперована дитина виписана додому, почуває себе задовільно та готується до проходження реабілітації в умовах філії «Центр медичної реабілітації та паліативної допомоги».

Як кажуть миколаївські лікарі, це вже не перше оперативне втручання, яке проведено із залученням колег з інших областей. Даний вид операцій дітей з деформаціями грудної клітки планується проводитись і надалі.

Як повідомляло Інше ТВ, Як у лікарні №4 Миколаєва рятують пацієнтів з мінно-вибуховими травмами – реальні історії (ФОТО)
