В Австралии к врачам обратился 48-летний мужчина из-за головных болей. В его носу оказалась капсула с марихуаной. Об этом пишет Корреспондент.
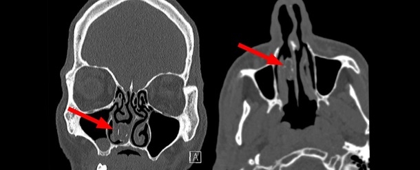
Австралиец обратился в больницу из-за головных болей. Также он рассказал специалистам, что много лет он ощущал частичную заложенность носа и страдал повторяющимися инфекциями.
Под наркозом из ноздри пациента врачи изъяли камень ринолит. Внутри него оказалось растение.
Позже мужчина признался, что в 30 летнем возрасте будучи заключенным спрятал в носу пакетик с марихуаной. А когда не смог его достать, решил, что проглотил наркотик.
Как сообщало «Інше ТВ», Новая глава Минздрава высказалась о медицинском канабисе
